Teeters Transformations - Where Confident Smiles Begin
At Teeters Orthodontics, every smile has a story — and Teeters Transformations showcases the remarkable journeys our patients have taken toward healthier bites, brighter confidence, and life-changing results.
From subtle refinements to dramatic improvements, these before-and-after transformations highlight what’s possible with personalized, modern orthodontic care. Each photo represents more than straight teeth — it reflects dedication, progress, and the renewed self-esteem that comes from loving your smile.
Whether braces, Invisalign, or early interceptive treatment, our customized approach helps patients of all ages achieve outcomes that look as incredible as they feel. We’re honored to be part of these transformations and we’re excited to help you start your own.
Explore the results. Imagine what’s possible. Smile with confidence.
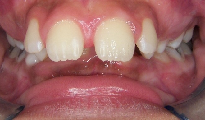
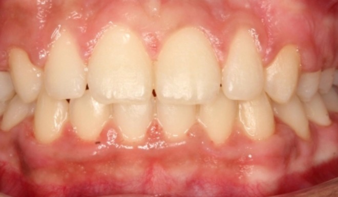
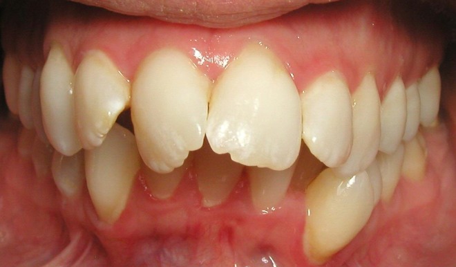
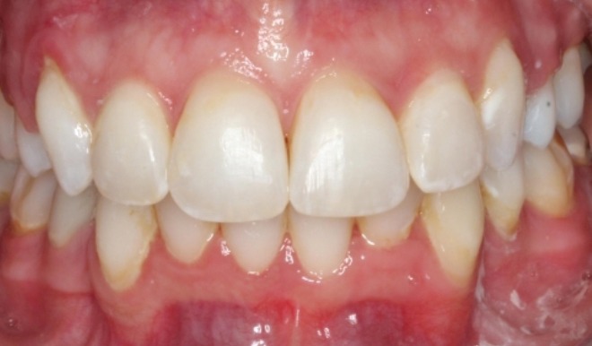
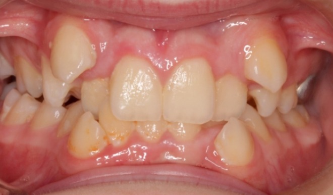
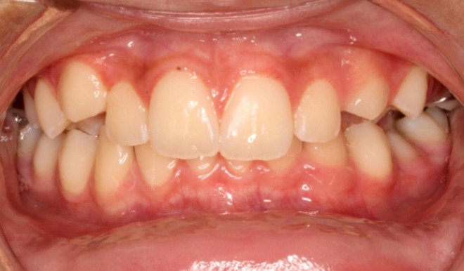
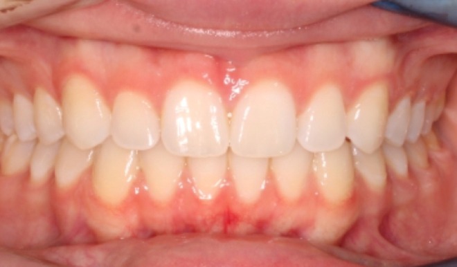
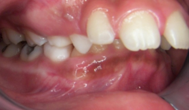
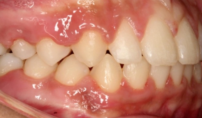
Case 1


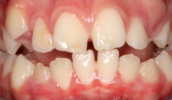
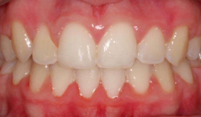
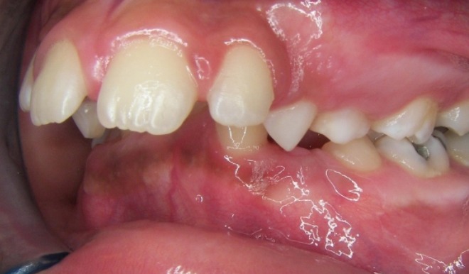
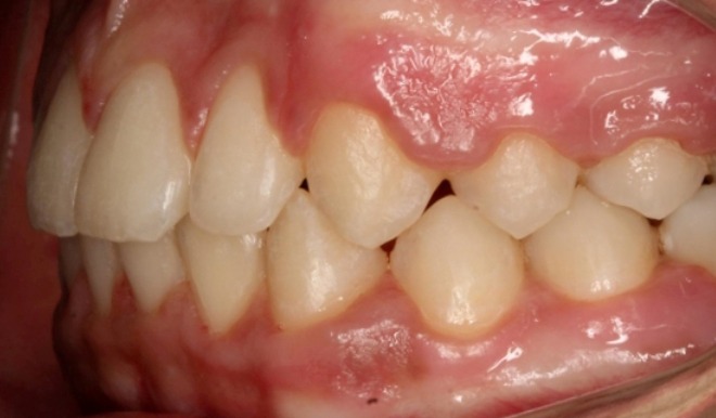
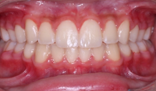
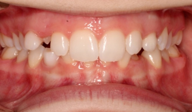
Case 2


Case 3


Case 4


Case 5


Case 6


Case 7


Case 8

